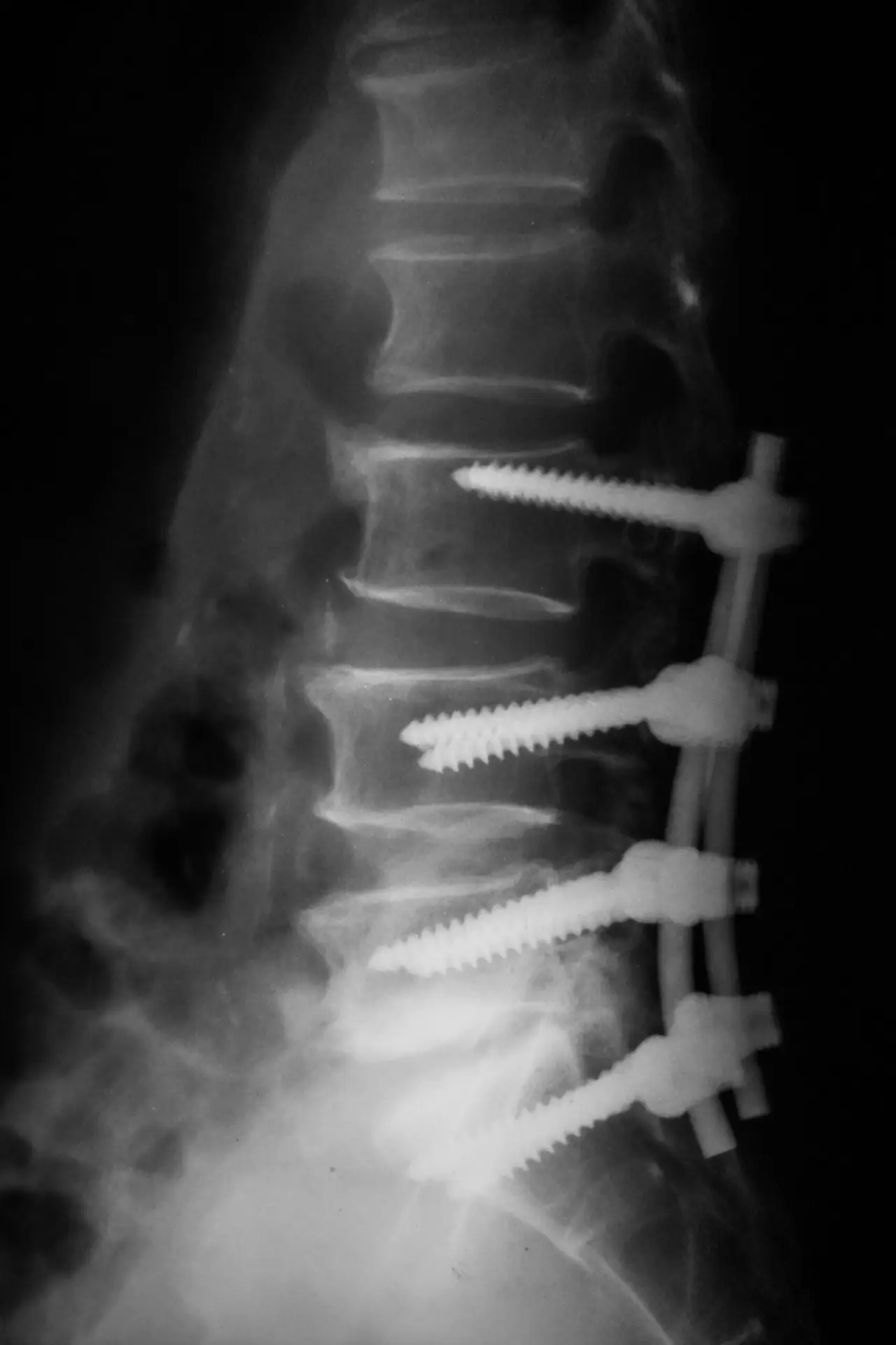
an x-ray image of a lower back with pins and screws in the vertebrae

What Are the Risks From a Broken Lower Back Injury?

Lumbar fractures are most often an indicator of disease or the result of high-velocity trauma. Car accidents, motorcycle accidents, and falls from great heights contribute to 150,000 spinal fractures each year in the United States. Women and adults over 50 are at highest risk for broken lower back injury. Once you’ve had a spinal fracture, you’re five times more likely to develop another sometime in your lifetime.

The risks from a broken lower back injury depend on the severity of the fractures. Minor injuries may require bracing, physical therapy, and time missed from work, while the most severe spinal injuries result in incontinence, paralysis, and even death.

What Is a Broken Lower Back Injury?

The spine is made up of 33 bones called vertebrae, which protect the spinal cord and provide a framework for the body. A fractured spine involves breaking any of the bones in the spinal column. The lumbar vertebrae are located in the lower back, so a lumbar vertebrae fracture is a broken lower back injury.

Spinal fractures range from mild to severe. Typically, the higher the force exerted on the back at the time of the injury, the more severe the trauma. Due to the risk of nerve and spinal cord damage, spinal fractures require emergency treatment.

Types of Spinal Fractures

Your healthcare provider will classify the nature of your broken lower back injury based on where the fracture is located, how the vertebrae are broken, and whether the spinal column is in alignment or misaligned.

  1. Compression fractures are small breaks in the vertebrae. These types of injuries are most often caused by trauma to the back or develop over a long period of time due to bone insufficiency from osteoporosis (a condition in which bones become weak and brittle).
  2. Burst fractures are the result of the spine being pressed together by a strong force. For example, falling from a great height and landing on the feet causes burst fractures, which are aptly named because this type of injury breaks the vertebrae into many pieces. Burst fractures may lead to pinched nerves.
  3. Chance fractures are also known as flexion/distraction breaks. They occur when the vertebrae are pulled away from one another in separate directions. Drivers and passengers involved in head-on collisions may experience chance fractures when the lap seatbelt holds the body in place, while the torso is unrestrained, causing the upper body to jerk forward in a forceful motion.
  4. A rotation fracture is a rare type of spinal break caused by extreme sideways bending of the spine that results in displacement of the vertebrae.

You will be assessed to determine if your fractures are stable or unstable. Stable fractures are less likely to require surgical intervention because all of the vertebrae are in alignment. Unstable fractures are more serious because the vertebrae are out of their normal position in the spine, upping the chances of spinal cord injury or paralysis.

What Are the Risks Associated With Lumbar Fractures?

Fractures of the lower lumbar vertebrae carry many risks since the spine is structurally involved in protecting parts of the central nervous system, including the spinal cord. Some of the potential risks associated with lumbar fractures include:

  • Moderate to severe back pain that intensifies with movement
  • Difficulty moving
  • Swelling and tenderness in the back
  • Bruising
  • Numbness, tingling, or weakness in the arms and legs
  • Bowel/bladder dysfunction 
  • Loss of consciousness
  • Brain injury
  • Blood clots in pelvis and legs due to immobility
  • Pressure sores
  • Pulmonary embolism
  • Pneumonia
  • Bleeding
  • Infection
  • Spinal fluid leaks
  • Nonunion (bones that don’t heal)
  • Wound complications from surgical repair
  • Deformity of the spine
  • Changes in posture and loss of height
  • Paralysis
  • Death

What Causes a Broken Lower Back Injury?

Some of the most common causes of fractured vertebrae are car accidents. The force of being thrown forward, backward, and side-to-side during a collision creates instability in the spine and leads to injury. Other causes for a broken lower back include:

Fractured vertebrae occur more frequently in women and people over age 50 who suffer from osteoporosis, a disease that makes them more susceptible to fractures overall. Even a minor fall or fender bender may result in a broken back.

What Is the Treatment for a Broken Lower Back Injury?

Treatment for fractures in the lower back will depend on the severity of the injury and whether you have other more pressing medical needs that must be addressed first. A suspected fracture of the spine caused by trauma requires emergency treatment to stabilize the head, neck, and back. Your doctor will evaluate your neurological status by testing your ability to move and feel external stimuli. They will check reflexes to determine whether nerve or spinal cord damage has occurred and assess your bowel and bladder function. Urinary incontinence or loss of bowel function can indicate a spinal cord injury.

Imaging tests including X-rays, CT scans, and MRI scans are used to diagnose fractures of the spine. The results will help your medical team determine the best course of treatment for you. Some options for treatment are:

Bracing

You may be treated with a back brace for simple spinal fractures, which you will be instructed to wear for a few months while the injury heals.

Spinal Surgery

More severe broken-back injuries require surgical intervention. Spinal surgery attempts to return the bones to their natural position, stabilize the fracture, relieve pressure on the spinal cord and nerves, and allow for normal movement. When you have other life-threatening conditions due to an accident or assault, spinal surgery will be delayed until those injuries are stabilized.

Physical Therapy

Your doctor will probably recommend physical therapy or rehabilitation when you are strong enough to participate. The goal of physical therapy is to strengthen the muscles in your back to improve your overall strength and help reduce the chances of further bone loss.

During recovery, you will be told not to engage in heavy lifting or intense physical activity. You may have to miss work while you heal. Your doctor will also prescribe medications to keep your pain under control.

Treatment for a broken lower back is costly and painful. If your injury is severe, you might not be able to return to your previous profession. You may be eligible to receive compensation for medical expenses and loss of employment if your injuries result from someone else’s negligence. The trial attorneys at Morris & Dewett represent clients seeking justice across Louisiana and Texas.

SOURCES:

American Academy of Orthopaedic Surgeons

Cleveland Clinic- Fractured Spine

Cleveland Clinic- Spinal Cord

Mayo Clinic- Osteoporosis

Mayfield Brain & Spine

Mayo Clinic- Spinal Cord Injury

Mayo Clinic- Pinched nerve

Mayo Clinic- Urinary Incontinence

Morris & Dewett provides this information to the public for general education and interest. The firm does not represent clients in every topic discussed in legal & injury news. The information is curated and produced based on trends in law, governance, and society to present relevant issues to the general public. Every effort is made to provide accurate information. Do not make any decision solely based on the information provided, please seek relevant counsel for each topic area. Consult an attorney before making any legal decision, consult a doctor before making any medical decision, and consult a financial advisor before making any fiscal decision. If you have any legal needs that we can assist you with, please do not hesitate to contact us.